Dr. Cesar Cepeda Arrellano

Dr: Cesar Cepeda Arellano

Dr: Cesar Cepeda Arellano

Tratamientos

EXTRACCIONES E IMPLANTES.

BLANQUEAMIENTOS DENTALES

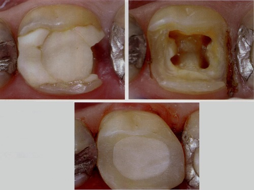
CARILLAS , CORONAS , COMPLETAMENTE ESTÉTICOS RELLENOS DE RESINA (DEL COLOR DE SUS DIENTES)

PROFILAXIS (LIMPIEZAS)

Implantes

Implantes y Rehabilitacion

Blanqueamientos

Blanqueamientos.

Blanqueamientos

Protesis fijas y removibles.

Cirugias dentales

Cirugias

Carillas

Carillas

Coronas

Coronas

Implantes

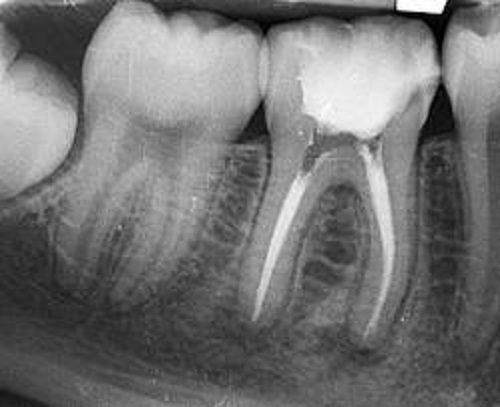
Endodoncias

Blanqueamientos

Profilaxis (LIMPIEZAS).

Blanqueamientos

Radiografias.