Dr. Cesar Cepeda Arrellano

La Odontología Neurofocal

La presente monografía se propone explicar y esclarecer el modus operandi y las relaciones entre focos dentógenos y maxilomandibulares y las alteraciones y molestias lejanas que, dadas ciertas circunstancias, pueden resultarle de allí a todo el organismo. Esto me parece justo ya que precisamente sobre este tema aun existen demasiados puntos no aclarados y concepciones falsas no sólo en círculos médicos, sino en los odontológicos.. También ha sido el motivo por el que esta temática y todo el complejo de interrogantes de la enseñanza focal se considera aun como el hueso “duro de roer” de la medicina. Pero esto no es así. La enseñanza focal existe. Al respecto las exposiciones de H. Mathis y W. Winkler en “odontología y medicina interna” (1956). Lo que aquí se expone se apoya fundamental y exclusivamente sobre reconocimientos corroborados de la medicina de la facultad. Su fundamento científico ha sido ratificado limpiamente y traído al reciente status de la enseñanza tisular gracias a la microscopia electrónica.

Bajo el término “foco dentógeno” entiendo manifestaciones y efectos a distancia de más variado tipo y clase, efectos que debido a la presencia de focos o campos de interferencia neural en terrenos dientes ( maxilar y mandíbula) y es decir, en predios del sistema masticatorio, han sido detectados y reconocidos como sus estados patológicos consecuenciales. La existencia de semejantes correlaciones, el nexo causal, ya no hay quien se atreva hoy día a ponerlo en duda. Antes de profundizar en el tema propiamente dicho definiré algunos términos fundamentales de la enseñanza focal con el fin de evitar malentendidos por nomenclatura. La terminología utilizada es la escogida por la comisión de nomenclatura del grupo científico alemán para la investigación de focos, su prevención y tratamiento (DHA) en la sesión del 31 de agosto de 1958 en la ciudad de Karlsruhe donde se acordaron las definiciones respectivas.

Docente Universitario Dr. Med y Dr. Dent. HEINZ RAAB

Clínica Odontológica Universitaria de Viena

Viena, 7 de junio de 1972

ACERCA DE LA TERMINOLOGÍA

Bajo el término “FOCO” se entienden todas aquellas alteraciones locales en el organismo que desencadenan, más allá de su inmediata vecindad efectos patológicos lejanos. Por ej., discrasias, disfunciones vegetativas aunque también molestias distantes de tipo localizado como pueden ser artritis, neuritis, etc. He utilizado intencionalmente la frase...”que desencadenan” y no he dicho “que pueden desencadenar” pues para que se trate de un foco es indispensable que el efecto sea a distancia, entonces no se puede hablar de focos reales o activos, así sea que nos enfrentemos a cambios patológicos tisulares localizados. A éstos bien que los podemos llamar “focos mudos o focos en potencia”, debido a que, si en el juego de correlaciones inciden varios factores diferentes, se pueden convertir en “focos activos”.

El término “campo de interferencia” lo utilizamos para denominar el terreno alterado en el aparato del tejido conectivo (portador de las regulaciones periféricas inespecíficas) de un foco. Sobre las funciones patológicas de éste es que se llevan a cabo los efectos a distancia de tipo general y local. De paso sea dicho que cada foco y cada campo interferente, así mismo cada foco dentógeno, histológicamente, se hallan en el tejido conectivo, en aquel tejido blando, intersticial, que está repartido por todo el cuerpo y que “en cualquier parte puede ser anatómicamente detectado” (Pischinger, 1963) y es precisamente allí donde se presentan alteraciones características. Un foco, v. gr. Un campo interferente, solo se torna activo cuando se rompe la defensa local y surgen debido a ello reacciones patológicas del “sistema básico vegetativo (Pischinger, 1969).

Bajo el término “reacción focal” entendemos la respuesta del organismo al efecto a distancia de un foco o campo de interferencia. “Enfermedad focal” es aquella segunda enfermedad producida por el foco. “ Suceso focal” es un término que está por encima de estos procesos y significa la patofisiología de todos aquellos procesos y correlaciones que juegan un papel en las relacione focales. A esto le pertenece también la peculiaridad de que la curación de síntomas de enfermedades, así sea que la causa de éstos se encuentre en otra parte, se ve impedida por la presencia simultánea de focos o campos de interferencia. Esto es un hecho de inmensa importancia práctica y en el que por desgracia se hace muy poco hincapié. Esta circunstancia forma precisamente un punto clave que nos ayuda a comprender el porqué no se curan muchos casos de enfermedades refractarias, exógenas y cuya etiología nada tiene que ver con un foco o campo de interferencia. Para mejor comprensión de lo dicho dos ejemplos:

Una mujer de 28 años de edad, que enfermó de tuberculosis cavernosa del lóbulo superior del pulmón derecho, había sido tratada, en vano, durante todo un año en un sanatorio especial, situado en los alrededores de Viena. En vista del fracaso de la terapia convencional me fue enviada para “búsqueda de focos dentógenos o interferencias”. En el maxilar izquierdo le encontré dos molares con amputación de pulpa como “focos potenciales”. El resto de los dientes tenían vitalidad. Tras la extracción de los dos molares citados cerró la caverna tuberculosa que era del tamaño de una ciruela, en un lapso de 14 días (Raab, 1961) La mujer sanó.

Otra comprobación que nos sirve a la vez de ejemplo clásico nos la da el cambio de estructura del tejido conectivo duro cuando se hallan presentes focos o campos de interferencia (Pischinger, 1961). Las fibras de este tejido conectivo“duro” son extraordinariamente sensibles a cambios en el potencial eléctrico de la célula, en el que a su vez el potencial depende del estado de la situación vegetativa básica de todo el organismo. Puesto que la situación vegetativa básica se altera patológicamente cuando hay focos o campos interferentes, por lo que el potencial eléctrico del tejido sufre, las fibras del tejido conectivo duro, debido a su sensibilidad a cambios de potencial, se hinchan, se alargan y es posible que en semejantes casos presentan una insuficiencia estática. Por ejemplo: en el sentido de un pie plano o de una hernia del núcleo pulposo, tan paradójico como nos parezca esto a primera vista, semejantes enfermedades son influenciable desde el vegetativo y sólo puede curárseles “ortopédicamente” si se sanea el organismo de focos y campos de interferencia, pues ello vuelve a la normalidad la situación vegetativa básica que estaba descarriada.

Básicamente hablando ha de decirse respecto a los dos ejemplos anteriores lo siguiente: Una erradicación de focos dentógenos en casos crónicos, que no se deben a focos pero que bien pueden recibir de allí alguna influencia, no es ninguna terapia focal dentógena. Solo puede hablarse de ella cuando se trata de un suceso focal dentógeno, lo que aquí no es el caso. El saneamiento en estos casos citados viene a ser solamente una “terapia de base” que nunca podrá considerarse como suficiente puesto que ella sola (en la mayoría de los casos) no logra influenciar”permanentemente” las crónicas. La terapia de base constituye, a pesar de los dicho, una “conditio sine quanon” para el éxito de los tratamientos indicados, no importa cuan especiales sea estos. Lo definitivo de todo saneamiento que se hace como “terapia de base” es la recuperación de las normales e inespecíficas funciones de defensa de todo el organismo( Raab, 1963)

EL COCIENTE VEGETATIVO

Estas experiencias comprobadas y comprobables nos llevan a considerar interrogantes de primerísima importancia para el odontólogo, para el medico general, para el internista y el ortopeda. La pregunta sería: debe sanearse una boca en enfermedades crónicas cuya etiología no radia en foco alguno. Esto debería hacerse sin tener en cuenta el así llamado “cociente vegetativo”. Precisamente en la consulta del médico general y del odontólogo surge una y otra vez la pregunta de cuándo o en qué momento es aconsejable efectuar un saneamiento total de la boca, como parte de un programa curativo general. Es natural que el odontólogo, sólo, no puede contestar jamás esta pregunta. Si se trata de males debidos a múltiples focos.

Ejemplo: la poliartritis crónica primaria u otros y ha podido comprobarse limpiamente, en forma clínica, la presencia de un suceso focal, no es muy difícil tomar las decisiones del caso, pues por experiencia se sabe que la evolución y el pronóstico sólo pueden ser influenciables benéfica y permanentemente si el saneamiento ha sido radical y si acto seguido se procede a la desensibilización correspondiente. Empero, cómo manejar la situación cuando se trata de enfermedades degenerativas y reumáticas que no se deben a focos?. Es realmente justo aconsejarle a un paciente con una artrosis o una hernia discal que antes de someterse a tratamiento, cualquiera que éste sea ( conservador o quirúrigico), se haga extraer todos los dientes cuya pulpa está muerta o fue amputada, siendo que a lo mejor se trata de carísimos pilares de puente cuya endodoncia fue realizada con verdadero esmero? En qué casos podemos dar esta orden y en cuales no?

Ya sabemos que los “test” generalmente conocidos y que ponen a prueba el carácter focal de una alteración tisular o de un diente, no nos dan informaciones exactas. Si acaso los valores en asociación a una anamnesis exhaustiva y a un examen general completo, nos pueden servir para la verificación clínica de un suceso focal. Las enfermedades reumáticas crónicas y degenerativas, como para nombrar el grupo más grande, no le deben su existencia a un foco pero muchas veces reciben fuerte influencia focal. Esta circunstancia nos obliga a buscarle respuesta a las interrogaciones hechas desde un punto de vista diferente, que no es otro que el de la naturaleza del estado individual en que se encuentra la situación vegetativa básica de todo el organismo.

l problema tendríamos que exponerlo de la siguiente manera: en enfermedades crónicas que no se deben a focos y en las que al mismo tiempo existen focos o campos de interferencia dentógenos potenciales hay que tratar de establecer, una vez eliminados otros focos o campos de interferencia en el resto del cuerpo, si estos focos o campos de interferencia dentógenos están o nó alterando en forma patológica la situación vegetativa básica. Dicho en otras palabras: es el organismo, en semejantes casos, todavía capaz de regulaciones de defensa normales o inespecíficas que son dirigidos por el vegetativo? O ya no hay sino descarrío más o menos característicos del mecanismo normal de defensa?

Lo esencial viene a ser la captación de la situación vegetativa básica, es decir: como está la carga de la batería, saber cual es el cociente vegetativo de todo organismo como fiel espejo que refleja la situación de defensa existente. Ya se dijo que al respecto no nos dan datos exactos las pruebas y los test de rastreo focal. Hay sin embargo dos métodos considerados como “test integrales” y que sí están en condiciones de satisfacernos. El primero es el análisis de los criterios hematológicos (reacción de Epilmed) según F. PERGER (1963) y el segundo la Iodometría (reacción de fijación del yodo) según A. PISCHINGER (1966). Para comprender mejor esto vamos a explicar brevemente los fundamentos vegetativos de estos dos tests. Respecto del análisis de los criterios hematológicos hay que decir que la base científica de estos tests se debe a las investigaciones de SELYE (1953), F. OF. (1962), H SIEDEK y otros, sobre las funciones normales de defensa del vegetativo le responde en tres fases a insultos de cualquier índole.

1ª Fase de schock 2ª Fase de contra-schock y 3ª Fase de adaptación.

Esto se refleja en los criterios hematológicos de la siguiente manera: en la fase de schock caen los niveles de calcio y colesterín y se reducen los leucocitos eosinófilos pero sube el nivel de magnesio. La fase de contra-schock presenta valores relativamente altos de calcio y colesterín y un aumento de los eosinófilos y disminución de valores de magnesio. La fase de adaptación se caracteriza por el regreso de todas las alteraciones descritas a la norma. PERGER pudo demostrar que en caso de regulaciones normales de defensa al inyectar por vía subcutánea 1 cc. de Elpimed en el lapso de una hora subían significativamente los valores de calcio en el suero y continuaban subiendo los mismos en la segunda hora. Esto se entiende como una reacción con la cual busca el organismo escapársele a un estado vegetativo de schock. No obstante en un paciente cuyo vegetativo se halla sobrecargado por campos de interferencia activos el comportamiento de los valores de calcio es bien distinto: después de la inyección de la misma cantidad de Elpimed hay ascenso inicial de los valores del calcio, pero una hora más tarde se presenta una caída característica de los mismos. Esto viene a significar que estos pacientes, a pesar del empujón que les propina el efecto del Epilmed debido al descarrío de sus reacciones de defensa, permanecen “atrapados” en la fase de schock. Un resultado semejante a esta prueba es una comprobación de que en caso así se encuentra alterada patológicamente la situación vegetativa básica y no es capaz de rendimientos normales de defensa.

La Iodometría según PISCHINGER actúa sobre el terreno humoral del vegetativo. Este método se basa en el raciocinio de que todo foco y todo campo de interferencia se encuentran en el tejido conectivo blando intersticial.

Esto también vale para cada foco dentógeno pues en los canalículos de Havers del hueso periodontal así como en la encía y la pulpa dental, se encuentran los elementos de tejido conectivo mesenquímico. Los efectos de un foco o campo de interferencia le pegan primero que todo al sistema intersticial o sistema vegetativo básico. Teniendo en cuenta la integridad de este sistema repartido por todo el cuerpo con sus finísimas fibrillas, hasta el punto que penetra hasta las mismísimas células orgánicas, es como se comprende el modo como un campo interferente o foco interviene a todo el sistema vegetativo básico siempre y cuando que las molestias sean lo suficientemente fuertes como para romper la barrera defensiva alrededor del campo interferente, cosa que una vez lograda, les permita traspasar el terreno afectado y lanzar sus efectos a la vecindad y también a distancia. Es entonces cuando aparece un cambio característico en la situación vegetativa básica de todo el cuerpo en el sentido de descarrío permanente de las regulaciones de defensa, regulaciones inespecíficas conectivas y principalmente humorales que son dirigidas como sabemos por sistemas oxido-reductores (sustancias redox)

Su existencia no solo hace posible, por un lado, el surgimiento de efectos a distancia provenientes de focos sino que, por otro lado, pueden ser las causa de la resistencia a toda terapia que presentan algunas enfermedades exógenas que no se deben a focos. En base a estos reconocimientos fundamentales de que las regulaciones vegetativas de defensa, en fin de fines, se dirigen y regulan a través de complejos oxido-reductores, que a su vez son influenciados por focos y campos de interferencia, es que se apoya actualmente la reacción estandarizada del yodo de Pischinger y sus colaboradores G. Draczynski y G. Kellner.

El análisis del consumo del yodo en suero sanguíneo desproteinizado, posibilita por primera vez una captación cuantitativa de los complejos activos del sistema humoral, “gran sistema regulador” de las funciones vitales, cuyas raíces se encuentran en el vegetativo. El capítulo sobre el vegetativo trataremos más extensamente este “terreno de regulación”. A grandes rasgos se trata de la transformación de yodo elemental en ión yodo, siendo que la norma de esta tiene un valor promedio de 81.3 mg%. Un consumo aumentado de yodo frente a este valor promedio y respetando ciertas oscilaciones climatológicas conocidas nos detecta un estado reductivo que significa que las regulaciones vegetativas de defensa se hallan descarriadas. Con ellos tenemos la comprobación de que la situación vegetativa básica de todo el organismo está patológicamente alterada.

Gracias a estos dos métodos estamos en condiciones de calcular correctamente el “cociente vegetativo” con que cuenta todo el cuerpo en cada caso dado, es claro que la yodometría, comparado con el análisis de los criterios sanguíneos, es más sutil. Naturalmente que la ejecución de estas pruebas aun no es posible en consultorios odontológicos, queda por lo tanto el médico enfrentado a este deber, pues no sólo tiene que examinar de primera mano a su paciente, sino que a él le corresponde dar los consejos pertinentes. Es muy importante que el médico al referir un paciente al odontólogo, no solo sepa fundamentar las medidas terapéuticas que solicita, sino que pueda informar a su odontólogo colaborador sobre el estado vegetativo del paciente. –si este fuera el caso, entonces hay que obrar en consecuencia y esta tendría que ser formulada así: “ Si el mecanismo vegetativo de defensa funciona normalmente y la boca del enfermo presenta “focos” o campos de interferencia no hay necesidad de tomar medidas odontológicas radicales. Por el contrario, si las reacciones de defensa están descarriadas es indispensable un saneamiento total y radical como condición para que el cuerpo retorne a su mecanismo normal de adaptación (Raab, 1963)

DIENTES CON PULPA MUERTA

Entre los focos dentógenos potenciales de comprobación clínica o radiológica se halla cuantitativa y cualitativamente el diente con pulpa muerta en primerísimo lugar y es indiferente si le ha realizado o no tratamiento de conducto. Es generalmente aceptado el que un diente con pulpa muerta distribuye en cualquier forma sustancias capaces de sensibilizar. Al tocar este tema lo hago conscientemente en el sentido de L. Altamann quien siempre habló de “dientes con pulpa muerta” y jamás de “dientes muertos” puesto que el diente con pulpa muerta, en sentido biológico por no representa ninguna estructura muerta como por ejemplo un secuestro.

Sabemos que a través de las fibrillas del recubrimiento apical en el espacio periodontal, fibrillas que se insertan en la capa de cemento, tiene el diente una unión orgánica con el tejido periodontal y su corriente humoral. Si esto no fuera cierto estaría verdaderamente muerto, entonces sería tratado por el organismo como un cuerpo extraño, pues asi actuaría y comenzaría el proceso de expulsión. Esto viene a suceder solo cuando en periodontosis severa, se pierde completamente la correlación orgánica con su vecindad viviente.

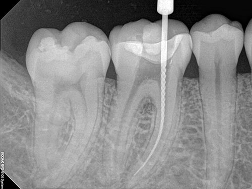
Existe por tanto en dientes cuyo conducto ha recibido tratamiento ideal (completo), en dientes con varias raíces, la posibilidad de traspasar productos interferentes del metabolismo desde el interior del diente por vía canalículos transversos – dentina-cemento-periodoncio y también a través de los foramenes apicales, que como sustancias capaces de sensibilizar ( v.gr. antígenos) le llegan así a todo el cuerpo. Si este traspaso se efectúa en los intervalos y con el ritmo correspondiente adecuado, surge el motivo para procesos alérgicos. No importa en lo más mínimo si en el conducto apical se encuentran o no bacterias ya que el problema focal es en primera instancia un problema alérgico neural y no bacteriano a pesar de que no se puede negar que el microorganismo puede jugar también algún papel.

El problema puramente bacteriano de un tratamiento de conductos es solucionable debido al perfeccionamiento de técnica y procedimientos. Esto lo comprueban los éxitos obtenidos por verdaderos artistas en la materia. Se ha visto inclusive que en relativamente corto tiempo, después de un tratamiento de conductos, se normaliza la estructura ósea que presentaba alteraciones comprobadas radiográficamente en terreno periapical. Controles radiográficos repetidos han demostrado lo dicho hasta la saciedad. No obstante tengo que responderle a los que dicen que el tratamiento de conductos perfecto – y les aseguro que no dudo que estas endodoncias existen- es la mejor terapia focal dentógena, que esto en ningún caso equivale a un “saneamiento focal” si efectúan una endodoncia ideal y creen que con ello hicieron un saneamiento focal, están en el error (Raab, 1964) y este error se debe a un mal entendido en la nomenclatura, pues hemos visto que dichos autores (verdaderos expertos en su oficio) entienden por “foco” la alteración periapical radiográficamente visible (el granuloma), mientras que nosotros bajo”foco” tomamos en correcta consecuencia a lo dicho, todo el diente con pulpa muerta, así sea que se presente ahora una curación morfológica reconocible de su osteitis periapical sigue en la boca interfiriendo como “foco intradental” Es también el motivo por el cual rechazamos la amputación apical como terapia focal dentógena.

La exactitud de estos raciocinios recibe su aprobación cientifica en el cuadro clínico de la poliartritis crónica primaria cuya evolución según las experiencias de Altamann y sus discípulos, jamás marchó satisfactoriamente tras las meras eliminaciones de procesos periapicales sino después de la erradicación de todos los dientes con pulpa muerta. Visto de esta manera aparece insostenible la denominación usual de “dientes con foco” o “sin foco” Es mejor hablar solamente de “dientes con pulpa muerta con o sin alteraciones periapicales. Hemos llegado a la conclusión de que el mejor y más aséptico de los rellenos de canales en nada altera el punto álgido de todo suceso focal que no es otro que su componente alérgico neurotóxico.

Respecto del suceso focal, toda endodoncia no es tanto un problema de tratamiento del canal en sí, sino más bien lo que sucede a lo largo y a lo ancho de los canalículos transversos, desde el interior del diente hasta el periodoncio y viceversa. Desde que existe una odontología científica han sido las interrelaciones entre dentina y cemento, objeto de muchísimas investigaciones histológicas. Al principio se le dio especial importancia a la relación entre cemento y dentina, es decir a la unión transversal-pulpa-periodoncio- esto más que todo buscándole un significado práctico a semejante Inter.-relación para apoyar el tratamiento de conducto. Por algún tiempo se excluyó que no existía comunicación alguna a través y más allá de la frontera entre dentina y cemento y se habló inclusive de una barrera impenetrable. Investigaciones histológicas realizadas por W. Pritz (1964)

En cortes micrométricos de dientes humanos y animales permiten reconocer que los canalículos de la dentina llegan hasta el mismísimo limite entre dentina y cemento y que de ninguna manera terminan antes de este limite en forma de vía ciega La función íntima entre dentina y cemento se caracterizó en dichos preparados por inclusiones que producía el cemento en la dentina en forma de trenza, que eran visibles en el límite de las dos sustancias duras. En terreno cemento celulado y en el de los sitios de reabsorción que llegan hasta la dentina, se encontraron anastomosis entre canalículos de la dentina y lagunas de cemento. Estas anastomosis llevan en sí el carácter de una comunicación genuina. No son de ninguna manera estructuras colocadas una sobre o al lado de otra. Las conclusiones a que obligan todos estos hallazgos respecto del tratamiento de canales las resume Pritz diciendo que la frontera entre dentina y cemento de ninguna forma equivale a una barrera impenetrable y que la comprobada comunicación transversal entre pulpa y periodoncio tiene que jugar un papel muy especial en la génesis alérgica de una enfermedad focal.

En base a los resultados histológicos de las investigaciones de Pritz puede aseverarse lo siguiente. Si alguien, por ejemplo, cree no poder aceptar el que después de un tratamiento perfecto de conducto pasen antígenos en forma activa, tenemos que recordarle que el problema alérgico no es cuantitativo, sino cualitativo. La cantidad del antígeno, aquí les nombro como ejemplo el caso del filtrador de vino al que se le queda una burbuja de “aire” en la botella, es suficiente para desatar en un paciente predispuesto un violento ataque de asma bronquial (Altmann). Una burbuja, también las hay en canales apicales y allí producen severos trastornos.

Un diente, un solo diente, así sea que su endodoncia haya sido ideal, puede destruir sustancias sensibilizantes ya que es tema bien conocido que por bien que se haga el tratamiento, quedan residuos de material orgánico. Pensemos nada más en la cantidad de restos de odontoblastos que quedan en los canículos de la dentina y cuyos productos de descomposición proteica (por difusión a través de dentina y cemento) llegan al sistema capilar del tejido periodontal y pueden entonces alergizar todo el organismo. Esto trae consigo una reorientación patológica de las regulaciones vegetativas inespecíficas de defensa creando el suelo fértil para molestias y alteraciones a distancia. Estudios histológicos propios sobre el modus de reacción biológica y también morfológicamente comprobable de dientes con pulpa muerta, dientes humanos que no fueron tratados y que permanecieron abiertos (Raab, 1965) sirvieron para comprobar que el diente que permanece abierto hace menos daño a distancia que aquel se cierra.

Rothbauer observó al respecto el siguiente caso: paciente de 45 años. Gangrena por silicato en el incisivo lateral izquierdo superior. El resto de la dentadura: 27 dientes vitales. Dos semanas después de la trepanación se le hizo a este diente la obturación definitiva. El diente permaneció mudo pero al segundo día después del relleno del canal empezó la paciente a quejarse de un lumbago que jamás había tenido o conocido. Tras un tratamiento con anti-reumáticos y en vista del fracaso se retiró el relleno del canal, desapareciendo en el acto los dolores descritos. Durante cinco días el diente permaneció abierto. Luego se repitió el relleno con otro material y otra vez aparecieron los dolores reumáticos. Este proceso se repitió exactamente una vez más. Solo después de la exodoncia, previa medicación antialérgica, apareció la curación completa y permanente del lumbago. Tanto tiempo como el diente permaneció abierto estuvo la paciente asintomática. Bastaba con cerrarlo para el efecto a distancia se presentara (Rothbauer, 1964)

Con lo expresado hasta el momento he intentado explicar la importancia del diente con pulpa muerta, del diente con tratamiento de conducto como factor sensibilizante en el marco de todo el vegetativo. El gran papel que juega el diente con tratamiento de conducto como sobrecarga focal del vegetativo, no solo cualitativa sino también cuantitativamente, es algo que – puesto en cifras- quisiera demostrar en base a una serie de investigaciones llevadas a cabo por Pritz-

Pritz (1956) se dio el trabajo de valorar 1000 historias clínicas del año 1952 de pacientes hospitalizados que fueron referidos al departamento clínico de odontología de Altmann. Este material representa sin duda alguna un promedio amplio que alcanza a dar datos suficientes sobre el cuidado dental de toda la población. A 760 pacientes se les hizo una investigación completa clínica y radiológica tanto de la dentadura como de la región maxilomandibular. De 13.546 dientes examinados se encontraron a ala evaluación clínica y radiológica 2.717 con pulpa muerta, lo que equivale a un 20%, cifra que por paciente da un promedio de 3.6 dientes muertos. De los 717 dientes con pulpa muerta se le encontró a 1.887 (69.4) alteraciones radiológicas. De todos los dientes con pulpa muerta habían recibido tratamiento de conducto 1.836 y de éstos presentaban 1.194 (65%) alteraciones radiológicas.

Respecto al alto porcentaje de las alteraciones radiográficas visibles, anota Pritz que entre ellas se encuentran tanto las conocidas alteraciones de la osteitis apical crónica, como ensanchamientos claros y clásicos del espacio periodontal, especialmente aquellos limitados a la parte apical. En aquel entonces F. Proell llamó la atención sobre el hecho de que dichos dientes, en su mayoría, había que considerarlos como infectados. En dientes con pulpa muerta de ubicación solitaria y en aquellos que se hallaban al final de una fila de dientes se encuentra el espacio periodontal de todas maneras ensanchado, debido a las alteraciones en la presión y a los cambios que sufre allí por sobrecarga de masticación. Pues bien, dichas alteraciones no se tuvieron en cuenta para la elaboración del trabajo. Solo se valoraron en ellos las alteraciones apicales. De estas juiciosas investigaciones hemos tenido que concluir que los portadores de dientes con pulpa muerta con o sin tratamiento de conductos, con o sin alteraciones radiológicas comprobables, presentan una morbidez elevada.

Nuestras propias investigaciones hechas con pacientes referidos a mi consulta para la búsqueda de focos dentógenos se cubren con las de Pritz. En el departamento clínico odontológico de la Caja de trabajadores pensionados de Viena donde soy jefe, valoré en 500 pacientes la prueba conjuntival de histamina según Remky. En todos aquellos casos sin contraindicación (iritis, conjuntivitis) busqué el valor promedio de reaccionabilidad (Glaser) de los dientes con tratamiento de conducto (Raab, 1961) Esta prueba se basa en el hecho de que a la presencia de focos o campos de interferencia en terreno de cabeza y cara, es decir: en el área dento-maxi-mandibular, aparece como signo de alteración del vegetativo una reacción de los vasos de la conjuntiva en el mismo segmento estimulado (terreno del trigémino) al colocar una solución diluida de la histamina. La respuesta positiva a esta prueba consiste en un enrojecimiento del ojo.

Se escogieron únicamente pacientes con las más diversas afecciones pertenecientes al círculo de enfermedades reumáticas, para ser más precisos: solo aquellas que fuera de dientes con tratamiento de conductos radiográficamente visibles, no presentaban ninguna otra clase de focos dentógenos potenciales y tampoco focos rinológicos. Esta limitación me pareció necesaria para no disminuir la fuerza comprobatoria de los resultados. El resultado de mis investigaciones era notable en el sentido de que de los 500 pacientes examinados 436, es decir la inmensa mayoría de esta colectividad tan cuidadosamente escogida y seleccionada (87.2%) presentó una reacción positiva mientras que la prueba solo salió negativa en 64 casos (12%). Esto comprueba que a la mayoría de todos los portadores de dientes con tratamiento de conducto les baste una pequeña sobrecarga adicional para romper la defensa local del foco dentógeno potencial y es de esta manera como se eleva la predisposición general a las enfermedades. Para evitar cualquier malentendido debo anotar que si la prueba de histamina sale positiva, esto no significa que podamos hablar entonces de una “dispersión” de los dientes que presenten pulpa muerta.

El test solo nos enseña que en tal sitio del vegetativo se ha roto la defensa local momentáneamente debido a la sobre carga aplicada. Si surge una sobrecarga más, bien sea ésta de naturaleza general o local y cae sobre este vegetativo agobiado focalmente, puede ser entonces que la insuficiencia, hasta el momento latente y en terreno de los inespecífico, se manifieste en forma clínica. Recapitulando lo dicho sobre el problemático papel que juegan los dientes con pulpa muerta en suceso focal, especialmente aquellos con tratamientos de conducto, sale de alli según nuestra opinión y para la práctica odontológica la siguiente enseñanza: “Un tratamiento de conducto es naturalmente aceptable en paciente sano, tolerable – tal vez- en el portador de focos considerado aun como sano, si es que se puede usar aun esta expresión! Empero...como terapia en si no se justifica de ninguna manera en enfermos agobiados por focos o en enfermos en los que ya fracasaron los mecanismos de la defensa vegetativa de todo el organismo. Hay que tener siempre presente el hecho de que aun no se ha logrado desarrollar un método de tratamiento de conductos capaz de evitar una enfermedad focal dentógena o por lo menos de influenciar benéfica y permanentemente una que ya se haya manifestado. “Sabemos que el principio patogenético del diente con pulpa muerta se basa en la sensibilización y alergización del cuerpo, por descomposición protéica, la que muy a pesar del mejor relleno de canales se abre a paso a través de los canalículos transversales desde el interior del diente hasta el periodoncio y desde allí hacia todo el organismo” Pritz, 1964, Raab, 1964.

CONSECUENCIAS DE DIENTES CON PULPA MUERTA

Los "espacios muertos" (Passler) de los canales radiculares con relleno incompleto se pueden tornar en focos ya que en ellos se encuentran masas de detritus que a su vez conducen a descomposición y a la formación de sustancias capaces de sensibilizar y que una vez lleguen al sistema capilar del tejido periodontal vecino alergizan todo el organismo. La osteitis periapical demarcada, el granuloma, la osteitis peirapical difusa que casi núnca se reconoce radiolográficamente, los quistes apicales, las alteraciones dentógenas del antrum así como los cambios patológicos de los nódulos linfáticos regionales v.gr. submaxilares, son alteraciones tisulares patológicas locales cuya actividad focal se basa en el factor comun a todas: las itis crónica mas o menos encapsulada.

Si se rompe la defensa local situada alrededor de estos focos crónicos, defensa que se caracteriza por infiltraciones linfocitarias y plasmo-celulares al pie de los nódulos linfáticos, pueden surgir las manifestaciones a distancia. Esto es determinado siempre por la capacidad de defensa de que disponga en ese instante el organismo. RICCABONA llamó hace mucho la atención de que las alteraciones del antrum, de etiología dentógena, como cosa particular y curiosa no eran los epiemas sino mas bien proceso inflamatorio crónicos inducivos y poliposos de la mucosa del piso del seno maxilar. Explicó que dichas alteraciones tomaban parte cusativa en el desencadenamiento de efectos a distancia. Un punto merece especial mención. Se trata de las alteraciones patológicas de los nódulos linfáticos regionales v.gr. submaxilares que no deben confundirse con los puntos de presión de la yugular, descritos por primera vez por H. LANGER en 1952. LANGER fue el primero en encontrar en mas de la mitad de los casos con enfermedad focal dentógena, sitios dolorosos a la presión en terrerno sub-mandibular y en el borde anterior del músculo esternocleidomastoideo.

El no relacionó dicha sensibilidad al dolor con infiltraciones de glándulas linfáticas sino que la diagnosticó como endoflebitis de la vena yugular. SIEGMUND y MEYER mas tarde coincidieron con él en dicha concepción. En todo caso no se trata de la causa sino de las consecuencias de una enfermedad focal dentógena manifestada.

CAMBIOS O ALTERACIONES EN REGIONES EDENTULAS

Bajo el término "región edentula" se entiende en la odontología todas aquellas áreas cuya apariencia se presenta sin dientes. En semejantes sitios se encuentran a veces dientes retenidos, incluidos, impactados como ser por ejemplo: cordales superiores e inferiores, caninos supernumeracios foliculares, además rudimentos dentarios, áreas con osteitis residual, restos abandonados de raíces cuyo aspecto es mas o menos inofensivo por su frecuente carencia de reacción, esclerosis ósea, así como también cuerpos extraños como por ejemplo: restos de metales (esquirlas de granadas, partículas de balas, etc., un hallazgo que después de la segunda guerra mundial estaba a la orden del día), así como restos de amalgama o cemento que durante la extracción de obturaciones mayores saltaron y cayeron en un alveólo vacío o se deslizaron submucosamente a la profundidad.

También obturaciones de cemento que en el intento de hacer las cosas a conciencia llegaron a asentarse en esponjosa o en el antrum, además de punta de gutapercha que se salieron mas allá del foramen apical y a la extracción de los dientes se partieron. Encontramos también implantes involuntarios como pedazos de agujas de KERR y toda clase de fragmentos de instrumentos odontológicos

Les recuerdo la interesante monografía de M. HERRMANN (1952) sobre la actividad focal de esquirlas de granada. Es obvio que alteraciones semejantes sólo pueden ser descubiertas cuando se realiza un status radiológico completo de la boca del paciente incuyendo radiografías de todas las zonas o regiones edéntulas. Si se tiene la sospecha de un suceso focal hay que exigir una serie radiográfica completa, incluso a los portadores de prótesis totales. Una panorámica extraoral no es suficiente. Ha de tenerse en cuenta además que no todo cuerpo extraño visible en las panorámicas tiene que hallarse en las correderas dentarias (E. SCHUH), pueden hallarse en la mejilla. La anamnesis y la palpación nos sacarán del apuro y del levantamiento inútil de un colgajo.

El factor patogenético de todos estos elementos hallables en las regiones edéntulas es el siguiente: dientes detenidos, impactados y rudimentos dentarios son campos de interferencia neural (F. HUNEKE, P. DOSCH y otros). Esto ha sido comprobado gracias a la posibilidad de desatar -cuando hay problemas a distancia- el fenómeno en segundos según HUNEKE, ROST subraya la importancia de dientes retenidos en referencia al suceso focal dentógeno y explica que semejantes alteraciones forman con predilección campos de interferencia vegetativa con efectos patológicos a distancia cuando los pacientes han pasado el umbral de los 30 años. Yo también poseo observaciones corroborantes de lo dicho, de las cuales sólo voy a relatarles una buena característica:

Mujer de 38 años que me fue enviada para la búsqueda de focos debido a un sindrome cervical. El cuadro clínico lo dominaban dolores de cabeza severos en terreno occipital, en la región de la columna cervical, con irradiación a ambos brazos incluyendo las articulaciones de los codos. Ni una sola queja proveniente del sistema dentario. Con excepción de ambos molares en mandibula inferior que portaban coronas metálicas y tenía relleno apical completo, todos los dientes presentaban vitalidad normal. El status radiológico intra-oral completo, mostró en mandíbula izquierda dentro del hueso al final del ramal horizontal y al principio del ascendente, dos molares completamente formados que no emergían y cuyos ejes longitudinales formaban una línea perpendicular que corría oblícua de abajo hacia arriba y cuyas coronas colocadas igualmente en sentido perpendicular sobre otra, sólo estaban separadas por un pequeño espacio. Se trataba del cuadro típico, aunque en esa forma poco común, de retención de dos molares permanentes de los cuales uno probablemente era el molar del juicio. Con la intención de encontrar un campo interferente dentógeno como causa de las molestias clínicas citadas inyecté procaína en la región apical de los dos molares con tratamiento de conducto. No hubo respuesta. En la misma sesión inyecté la región edentula del ondontón 8 en mandibula inferior izquierda y se desencadenó en el acto un típico fenómeno en segundos según HUNEKE pues los dolores de cabeza desaparecieron para retornar dos días después. Este suceso era reproducible. Con esto quedaba limpiamente esclarecido el diagnóstico de correlación entre la retención dentaria como campo interferente neural y los dolores de cabeza (RAAB, 1964).

La osteitis residual en terreno edéntulo cuyo factor focal activo es la inflamación crónica circunscrita, merece discusión aparte. Se trata de una inflamación crónica demarcada en zona edéntula. Fue descrita por vez primera en el año 1925 por MELCHIOR quien la bautizó con el nombre de "osteitis paradentaria". Estas alteraciones se las encuentra uno aisladas en el hueso como también alrededor de residuos de tratamiento de conducto o de obturaciones de amalgama que quedaron en el área maxilomandibular a la extracción de dientes. El diagnostico "osteitis residual" se pone la mayoría de las veces como "diagnostico casual" cuando se hace una investigación radiológica de zonas edéntulas, se caracteriza por áreas redondeadas mas o menos visibles y cuyo centro es mas claro. Es un hecho el que semejantes pequeñas alteraciones pasan inadvertidas al análisis de placas de zonas edéntulas o si alguien las ve y las describe no les reconoce su enorme importancia. PRITZ en 1968 expuso algunas de las causas por las que surge la osteitis residual y que aún no son conocidas en forma general: después de la extracción de un diente debe observarse si hay o no sangrado pues de un "alveolo seco" suele formarse una "osteitis residual" "el granuloma" la osteitis periapical crónica, debe erradicarse con el instrumento apropiado puesto que la mera extracción no siempre nos da la garantía de que se cura la inflamación crónica, sobre todo tratandose a veces de procesos de amplia extensión.

Sólo el levantamiento primario de un gran colgajo como lo exige ALTMANN desde 1965 nos da la visión necesaria y suficiente posibilitando la erradicación radial de hueso enfermo. Si una raíz presenta una fractura e hizo indispensable el levantamiento de un colgajo no deben quedar esquirlas o espiculas óseas en el alveólo. No debe manipularse con la fresa de tal modo que se produzca necrosis por calor. Ambas cosas pueden conducir a osteitis residual. SIEGMOUND en 1929 llamó la atención sobre los peligros que para el hueso traía la aplicación de arsénico.

El peligro patogénico que tiene en común las alteraciones enumeradas se basa fundamentalmente en la defectuosa asimilación de los materiales correspondientes. Alrededor del material extraño se forma después de 10 a 15 días un infiltrado de células pequeñas que permanece inalterable y que no es tomado en lo más mínimo por los procesos posteriores de la cicatrización (KELLNER, 1969). Este infiltrado linfocitario-plasmocelular se considera como inflamación crónica, además es un indicador de hipoxia del tejido que constituye una causa para la destrucción posterior del tejido conectivo. El material no reabsorbido conduce también a reacciones fallidas del tejido base (PISCHINGER, 1953).

La causa de esta mal-regulación se encuentra en una irritación vegetativa-neural "permanente" por parte del punto interferente (foco) o de su área circundante (campo interferente). Sobre todo esto se basa la efectividad de semejantes elementos; al respecto habría aún que decir lo siguiente: si como ya fue demostrado el examen de materiales de relleno de conductos por KELLNER y KERESZTESI (1964) el efecto tóxico celular de un material insoluble no depende de la cantidad de sustancia utilizada, entonces lo peligroso no es toda la masa sino su superficie. Cada material no asimilado incluyendo la proteína, tiene esa superficie y de ella es parte el efecto interferente e irritativo. Un agradecido objeto de estudio comparativo, de lo que es una interferencia que parte de una superficie, es el cristal de talco comparable en muchas cicatrices de la piel. El simboliza el material no asimilado y es como sitio o punto irritativo no parte "primariamente" del foco sino de la superficie del material no asimilado, mejor dicho del cristal o en nuestro caso del material de relleno de conductos (cemento, fosfato, gutapercha, etc.,) y pasa al tejido (KELLNER, 1969).

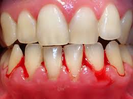
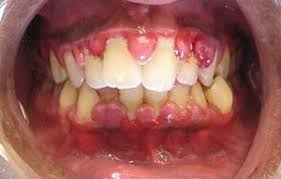
IMPORTANCIA DE LA GINGIVITIS

De la periodontitis, periodontosis, de la dentición difícil, de la formación de bolsas en encía, de la osteitis, etc., en el marco de un suceso focal dentógeno. Al respecto hay que decir lo siguiente:

La efectividad focal de estos cuadros clìnicos se basa primero en los mismos procesos inflamatorios crònicos y segundo en la reaccionabilidad vegetativa de la gigiva. Esta última "ratio" no se conocìa hasta el momento y sòlo ha podido ser aclarada gracias a las ùltimas investigaciones histològicas, electrónico-microscópicas e histo-químicas hechas por PLENK junior y RAAB (1969 1970) en nervios de la gingiva humana. Hemos comprobado allì por primera vez en la historia de la odontología científica la existencia de nervios adrenergos y autónomos (en la encia) lo que permite entender correlaciones funcionales de la misma con todo el organismo y a las que les faltaba el substrato morfològico.

La importancia clínica de este hallazgo se publicó por primera vez en 1970 (RAAB). La comprobación de que sí existen nervios vegetativos en la gingica es apropiada para explicar la hasta ahora oscurísima patofisiología de efectos a distancia "lanzados desde la gingiva" hacia todo el organismo y viceversa daños que le vienen a la gingiva proveniente de la mas variada y general gama de insultos patológicos de tipo tanto físico como psíquico (RAAB 1961). En la Universidad tenemos ya apabullantes estadísticas que le sirven de ejemplo a todo lo que estamos exponiendo.

El internista alemán M.L.Veil (1939) describió que en la mayoría de los casos con periodontosis las amigdalas se hallaban afectadas, o viceversa que una periodontosis severa y fétida solo lograba curarse después de una amigdalectomía. Se sabe además de casos en que existe una gingivitis crónica o aguda, pueden aparecer simultáneamente afecciones de caracter reumático en varias articulaciones, o molestias a distancia circunscritas a órganos. Este caso se da preferentemente en aquellos lugares del cuerpo cuya estructura heredada presenta constitucionalmente una clara debilidad de su sistema o también alrededor de sitios que sufrieron enfermedades años atrás. Sucede lo mismo con áreas cuya sobrecarga tisular es evidente por ejemplo: allí donde la estática del esqueleto está alterada. Todos estos factores crean en el cuerpo puntos de resistencia menor, mejor dicho puntos de reacción mayor, de tal modo que es allí donde anidan en primera linea irritaciones e interferencias.

Hasta ahora se venía culpando de todos estos sucesos focales que siempre acompañan, así como también a las alteraciones osteíticas. Sabemos que bajo la influencia de una situación hormonal de stress permanente como la pubertad, el climaterio y el embarazo o también un schock psíquico, como por ej: situaciones conflictivas en el trabajo y en la familia, puede presentarse una gingivitis sin que para ello podamos encontrar la culpabilidad de algún factor local. Las interpretaciones dadas a estos hechos reales no lograron satisfacernos núnca. Según nuestros conocimientos actuales sobre la morfología de la gingiva humana salta a la vista la explicación siguiente: La existencia de fibras vegetativas nerviosas de tipo adrenergico y autónomo en la encía humana, cosa hasta ahora desconocida, comprueba sin lugar a dudas que toda la estructura de sostenimiento y soporte del diente junto a su tejido conectivo elástico que le garantiza su función orgánica de cohexión y fortaleza, se somete a las regulaciones vegetativas de todo el organismo, a través de la interconexión que les facilita el tejido conectivo blando, rico en células y entretejido en toda la estructura elastica en unión con las citadas fibras nerviosas vegetativas y autónomas.

Este hecho le da capacidad para reaccionar y regular vegetativamente en forma indipendiente. En este reconocimiento fundamental está la importancia clínica de los resultados de nuestras investigaciones científicas. A esta circunstancia se debe también el que nosotros, a nivel academico, hayamos podido comprender y luego aceptar la patofisiología y la patogenesia de efectos a distancia desencadenados desde terrenos periodontales y asímismo las diversas patologías presentadas por la gingiva como provenientes de toda suerte de influencias externas e internas. Nuestras múltiples observaciones clínicas recibieron en base a los resultados de nuestras investigaciones científicas, por primera vez, la correspondiente corroboración morfológica.

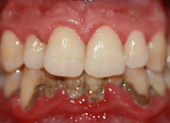
CORROSIONES DE LOS METÁLES PESADOS

Bajo corrosiones entendemos signos de disgregación electrolítica o descomposición. Las vemos en coronas y puentes donde se emplean aleaciones poco nobles o en presencia de metales diferentes, especialmente en los sitios o puntos de soldadura. Es posible reconocerlas a simple vista o al sondeo por la porosidad de la superficie metálica sospechosa.

Se sabe que estos metales corrosionados pueden desencadenar desde los dientes estados patológicos idénticos a los que producen los focos de cualquier índole. Todos estos tratornos se deben a que los iones de los diversos metales se sepraran, se disuelven y forman en el tejido de la encía complejos metalo-protéicos que pueden alergizar el organismo.

BIMETALES

Cuando se dice que en una boca hay bimetales, se da a entender que esa boca presenta metales diferentes entre sí como por ejemplo: oro, amalgama o unidades de metales blancos como acero, etc. Su componente focal activo se basa en que entre los susodichos metales surgen tensiones eléctricas en el sentido de diferencias de potencial y todas estas "en su totalidad" pueden llegar a constituir un campo interferente con todas las molestias a distancia, que le son características. Según E. THIELEMANN ni siquiera es necesario que haya en la boca metales diferentes; una diferencia de potencia también puede presentarse cuando las aleaciones son hetereogeneas, como amalgama o cuando aleaciones de oro y acero inoxidable, por lo mal elaboradas, se han tornado hetereogeneas.

Un efecto impresionante de afección a distancia producida por metal nos la reportó F. SINGER de Meranio en 1957.

Paciente de 62 años con estenocardias post-infarto de miocardio. Con ultrasonido se le disolvió en 12 mgr. de oro en aceite y dicho aceite se frotó en la piel. Cinco horas mas tarde se presentaron severísimos ataques esteocárdicos a pesar de que el paciente guardaba para la prueba reposo absoluto. Después de la extracción de las coronas dentarias hechas en aleaciones (muy regulares) de oro y plata, le desaparecieron al enfermo sus estenocardias a pesar de la gran cicatriz que lleva en su miocardio. Tiempo de observación tres años.

DIENTES VIVOS PERO ENFERMOS

Es posible que el diente que aun vive adquiere carácter de foco. La afectividad focal de dientes semejantes se da cuando cierta clase de influencias caen sobre el diente, tales como insultos mecánicos, traumáticos, térmico físicos, eléctricos, bacteriano-infecciosos, tóxicos químico medicamentosos, abrasiones fuertes, caries profundas -como se ven amenudo en esclerosis multiple- debajo de obturaciones de metal, de plástico, silicatos que conllevan a alteraciones inflamatorias o degenerativas de la pulpa, lo que por su parte conduce a descomposición protéica y formación de antígenos (HILLER, DITTMAR y otros).

Esto puede ser observado especialmente en dientes vitales con corona, preferentemente si se los utiliza para ferular. El solo tallado del diente como pre-acondicionamiento para coronarlo es una "herida" (REBEL) que puede tener como consecuencia una lesion pulpar.

Si el diente en cuestión visto en forma odontológica -está bien tallado la probabilidad de una irritación quizás irreversible de su pulpa es mucho mas grande, si está mal tallado le queda la corona obligatoriamente defectuosa, esto significa que los bordos de la corona se sobrepasan y cae la encía en el estado de una inflamación crónica formando consecuencialmente un campo de interferencia con efectos patológicos a distancia.

Para no salirnos del meollo del problema debo insistir que no es la caries la que en los casos citados tiene un efecto focal sino la alteración patológica de la pulpa. El substrato anatomo-patológico de estos procesos, que clínicamente no suelen llamar mucho la atención, se basa en toda una serie de alteraciones patológicas caracterizadas por el hecho de que en su evolución el tejido pulpar se destruye y es reemplazado solo en parte por tejido conectivo. Este "cuadro clínico" fue descrito por HAUPL. RAAB y otros como "flema pulpar" (PHLEGMASIE). Dijimos en aquel entonces que este proceso no constituia ninguna enfermedad "sui generis" sino que desde el punto de vista evolutivo dicha reacción era la única expresión morfológica con que la pulpa le respondía a toda una cadena de diferentes irritaciones. El suceso patológico se inicia siempre con molestias circulatorias locales. En casos así la sola alteración pulpar puede adquirir carácter de foco. Estos son los motivos de cuando y porque dientes vivos pueden jugar un funesto papel. El principio común del diente con pulpa muerta y del diente aún vivo pero enfermo se basa pues en la sensibilización del cuerpo por descomposición protéica v.gr. por detritus resultante de dicha descomposición. Para subrayar lo expuesto un ejemplo:

PISCHINGER reclamó una vez la pulpa de un diente con vitalidad comprobada aunque reducida (disminuida) y lo sometió a exhaustiva investigación histológica, pues, dicha pulpa, al ser extraido el diente, había producido en fenómeno de segundos la curación de una tormentosa y añeja neuralgia del trigémino; en el corte se encontró un tejido completamente estéril, pobre en líquido y con numerosas capas de amiloide, un signo de que el metabolismo estaba alterado. La causa permaneció desconocida, lo que sí se supo fue que las alteraciones degenerativas bastaron para causar también sin bacterias "efectos dispersadores" PISCHINGER 1961.

Teniendo en cuenta estos reconocimientos sería justo que nosotros, los odontólogos dispuestos a la cacería de focos y campos de interferencia dentógenos, lanzáramos nuestra mirada interrogante no sólo sobre los dientes con pulpa muerta y demás patologías descritas, sino también investigaremos si en esas bocas por inspeccionar se hallan dientes sanos o enfermos.

GRAFICA

Número de pacientes: 760

Dientes examinados: 13.548

Dientes vivos: 10.829 Con pulpa muerta: 2.717 (20%) Con alteraciones radiológicas: 1.887 (69,4%) Con tratamiento de conducto (canal root): 1.836 Con alteraciones radiológicas: 1.194 (65%) (Tomado de W. PRITZ: Investigaciones sobre la frecuencia de focos dentógenos y las oportunidades de éxito de un tratamiento de conducto, publicado en alemán en la HOSTERR. ZOSHR STOMAT 53, 3, 125, 1956).

GRAFICA Resultado de la prueba conjuntival histamínica según REMKY Número de pacientes: 500 Enfermedades reumáticas: 500 Resultado positivo del test: 436. Porcentaje 87.2 Resultado negativo del test: 64. Porcentaje 12.8 (Tomado de H. RAAB: el tratamiento apical como sobrecarga focal del vegetativo, publicado en alemán en: DER PRAKTISCHE ARZT, XV, 167, 225, 237, 1961).

RESEÑA HISTORICA

Respecto a la forma como la odontologìa ha ido cambiando sus conceptos sobre el "suceso focal" hemos de recordar que al principio sòlo se hablò de una "infecciòn focal" (Passler, 1909), con lo que se le daba expresiòn exclusivamente a la dispersiòn bacteriana hematógena que provenìa de un foco. Esta frase pretendía cumplir con la explicación genética del problema. Luego vino el reconocimiento de que en todo este suceso focal podían jugar un papel de importancia tóxinas e naturaleza tanto bacteriana como abacteriana por lo que se amplió esta frase llegando al término de "toxicosis focal" (Slauck). Una vez se supo que estas toxinas en su efecto podían sensibilizar y alergizar todo el organismo se acuñó la definición de "alergia focal" (Rosenow, Borryan y otros). Fundamentalmente puede decirse que estos tres términos abarcan tan solo una parte del tema aunque con interpretación algo causal

Las palabras "infección" y "toxicosis" denuncian una influencia que cae sobre el cuerpo, mientras que "alergia" significa una manera de reaccionar, una respuesta que da el cuerpo. La así llamada "infección focal" viene a ser en el suceso focal solamente una faceta pequeña de todo el asunto, digamos un episodio en el que gérmenes de alguna clase juegan un papel. La vieja fórmula de "sepsis oral (Hunter, 1911) ya no se utiliza y solo podríamos aceptarla para los casos en que "sepsis genuina" se presentara en terreno bucal, es decir si la noxa le llega al cuerpo por dicha vía.. Hablamos de este tema en forma generalizada cuando empleamos el término "suceso focal"

CONCEPCION ACTUAL DEL SUCESO FOCAL

Bajo la impresión dejada por los trabajos de Speransky, asi como apoyados por los descubrimientos de Ferdinand Huneke (El fenómeno en segundos) han ido tomando forma nuestras concepciones acerca del suceso focal. Hoy día han adquirido éstas la dimensión de un problema neural patológico. En todo ésto hay por lo pronto una cosa clara y es que el suceso focal se lleva a cabo en el sistema vegetativo (Pischinger, 1961). En búsqueda de una terminología generalmente válida nos hablan Scheidt y Siegmund de foco como un campo de interferencia "vegetativo". Investigaciones clínicas y de laboratorio hechas por Perger enseñaron que el papel principal en el curso de un suceso focal lo juegan disregulaciones del vegetativo. Perger comprobó con ello que el problema focal en fin fe fines tiene sus raices en las funciones del vegetativo.

Este reconocimiento fundamental y el hecho de que cada foco, cada campo interferente dentógeno, visto por histología se encuentra enclavado en el tejido conectivo blando, en donde siempre puede ser encontrado anatómicamente ( Pischinger, 1963) de tal modo que los efectos de un foco o campo interferente afectan principalmente al tejido conectivo intersticial, nos conduce obligatoriamente a la premisa de que el suceso focal sólo puede ser entendido a través del estudio del comportamiento de las reacciones inespecíficas de defensa, ej. de las funciones vitales básicas que precisamente provienen de este tejido conectivo. El sólo estudio de afecciones orgánicas y de reacciones específicas antígeno-anticuerpos, no basta puesto que no abarca sino una pequeña parte de la totalidad. Con esta manera de ver las cosas da igual si el efecto focal se lleva a cabo a traves de noxas bacterianas o abacterianas, por invasión de sustancias capaces de sensibilizar a los alérgenos, lo esencial es que "el efecto focal en si" altera en cada caso la situación vegetativa básica de todo el organismo. Sobre el mecanismo de acción entraré más adelante en detalle. Con esta manera integral de observar el cuerpo ganamos un punto de vista realmente unitario que nos posibilita adelantar nuestros trabajos naturo-científicos en el sentido de Schopenhauer, quien siempre exortó a "relacionar todos los posibles estados de la materia orientandonos por la casualidad para llegar al denominador que les es comun y luego separándolos, establecer para unos y otros la fuente única de donde proviene".

EL VEGETATIVO

El suceso focal se lleva a cabo según la autorizacion opinión de todos los autores en el asi llamado "vegetativo". En esta frase encuentro la pauta para hacer una pregunta bien fundamental: que significa eso de "vegetativo?. Un trabajo sobre el vegetativo tiene, antes que nada, que empezar dando explicación clara sobre el término en si. Para ello tenemos en la literatura dos versiones: La una dice que esta expresión viene del latín "vegere" que significa "alegre, ser vivaracho" y "vegetare" o "animar, poner en movimiento". Según esta etimología debe llamarse "vegetativo" todo aquello que mantenga en movimiento las funciones inconscientes de la vida (las involuntarias) aquello que las anima, o con otras palabras: vegetativo significa regulación y defensa.

Estas funciones no solamente las hay en animales y plantas sino en todo, inclusive en criaturas carentes de nervios, las vemos también en los germenes y embriones inclusive antes de que se hayan formado nervios y vasos. De esto se colige que en cuanto a terminología se refiere debe diferenciarse entre el sistema nervioso vegetativo y un sistema general vegetativo (Psichinger, 1969).

Otra versión afirma que el nombre viene de la palabra vegetus que significa "planta", "perteneciente a la planta" (L.R. Muller, Hober, 1920). Según esto, se entiende bajo "vegetativo" todas aquellas funciones básicas que también le son propias a la planta, esto desciende en la escala hasta el bacterium. Ambas versiones colocan en el punto céntrico de su definición como factor comun el control y la regulación de las así llamadas funciones vitales básicas o fundamentales. Sería falso correlacionar todo lo dicho exclusivamente con regulaciones pues allí donde es necesario regular tiene primero que existir rendimientos o funciones regulables. Estos rendimientos abarcan en primera linea las funciones vitales (Abeche, 1952) como : 1.- El metabolismo del oxígeno (oxígeno como vehículo para los electrones). 2.- El presupuesto de ácido y bases. 3.- El presupuesto mineral (Ca, Mg, K, Na, etc) 4.- El presupuesto de agua 5.- El mantenimiento de cierta temperatura.

A esto se le adicionan las sustancias nutritivas necesarias para la manutención de la vida primitiva, como proteínas, grasas e hidratos de carbono. Todos estos factores tan estrechamente entrelazados definen el potencial bioeléctrico de la célula y tejido que sin lugar a dudas es físicamente medible. Forman pues el núcleo mismo de las funciones vegetativas. De su interrelación armónica dependen las funciones de defensa contra noxas, por ejemplo: procesos celulares y fermentativos. Sobre este fundamento de las funciones vitales sin el que una vida intacta no es posible, se basan todas las demás funciones tales como los procesos inmunobiológicos y las funciones específicas de las células orgánicas (H. Eppinger, 1949). Además es importante saber que todas las funciones vitales básicas juegan un papel importantísimo en todos los procesos de tipo físico y psiquico. De aquí se deduce la importancia de medir la situación vegetativa básica que como ya se dijo se puede hacer analizando los cambios en el metabolismo mineral del calcio, del magnesio, del sodio y del potasio en la sangre. Esto es práctico pues en el transcurso de un suceso focal la situacion vegetativa básica se altera visiblemente por la sobrecarga focal.

Es natural que todas estas funciones básicas tienen que marchar en armonía para lograr una acomodación óptima de la célula al medio que le corresponde, es decir, a su area circundante. Para lograr esto necesitan los pluricelulares un sistema coordinado y hasta ahora se le viene dando a dicho "gran regulador" el nombre de "Sistema Vegetativo". El dirige la totalidad de los procesos vitales involuntarios. ¿Qué pertenece a todo este "sistema vegetativo"?. No solo el sistema nervioso autonomo con el vago, el simpático, el hipotálamo, el diencéfalo, etc., sino también el endocrino con las hormonas, sin olvidar que cada célula posee también las susodichas capacidades reguladoras.

La comprobación científica de esto la obtuvimos al sembrar tejidos fuera del cuerpo. Dichos cultivos tuvieron vida sin vago y sin simpático. En el año 1907 logró Harrison que prendieran y crecieran fibras nerviosas en cultivos de tejino embrional de sapo que fueron mantenidos en linfa, también de sapo. Este fue el nacimiento de los cultivos tisulares. (Bargmann, 1964). Otras pruebas de que el sistema nervioso autónomo no puede ser solamente el gran regulador, pues hasta el momento no ha sido posible a pesar de multiples esfuerzos entregar la irrefutable prueba histológica de una fibra simpatica o vagal llegue y contacte con la célula cualquiera que sea su origen embrionario es decir, esté conectada directamente una celula hepática o muscular.

Es una verdad comprobada que las fibras nerviosas terminan antes de hacer contacto con la membrana celular. Las células orgánicas estan circundadas por tejido conectivo blando intersticial llamado mesenquima. Este contiene el líquido extracelular. Debemos caer en cuenta que también existen organizaciones que a pesar de su regulación perfecta carecen de nervios (Pischinger, 1969), loo apreciamos en tumores en la placenta y en los primeros estadios del embrión animal. La celula parenquimatosa del hígado no está inervada directamente. En centenares de cortes de biopsias hepáticas no pudo L. Stockinger encontrar ni una sola vez nervio alguno. La corteza suprarrenal no es diferente a ésto. En la pared del alveolo pulmonar (septum alveolar) f no se encontró nervio alguno en los examenes de microscopia electrónica. Es un error suponer, por lo tanto que los capilares son inervados vegetativamente de forma directa.

Hemos hallado otro argumento en contra de las concepciones actuales sobre la importancia del sistema nervioso vegetativo en las experiencias realizadas con los transplantes de organos. Las conexiones vasculares se restauran, los nervios en cambio permanecen en principio separados. Según comunicación personal de Navratils (Viena) a Pischinger le responde un corazón autotransplantado de un perro a la estimulación vagal semanas después de la intervención. Esto significa que el órgano funcionó durante semanas sin control del sistema nervioso central. A pesar de toda la fisiológia y farmacología se sabe que en la periferia vegetativa existe una autonomía como la que en parte le es propia a las células orgánicas como queda demostrado por las contracciones ritmicas de las fibras musculares aisladas en los cultivos tisulares. Por otra parte existen celulas nerviosas perifericas, principalmente sub-epicárdicas, cuyas fibras forman parte de la formación del plexo nervioso básico en el miocardio y endocardio, de tal modo que la implantación no parece carecer del todo de una acción nerviosa.

Las experiencias logradas con los transplantes de organos han comprobado que funciones orgá´nicas pueden persistir sin el concurso de centros nerviosos vegetativos, por ejemplo centros bioencefálicos. Tengase bien presente que los controles vegetativos primarios han de buscarse en la periferia. Las células orgánicas están mediata e inmediatamente circunscritas por el tejido conectivo blando intersticial en asociación con el líquido extracellar y de ninguna manera en forma directa por fibras nerviosas. Es en este sentido en el que debemos construir y estructurar una teoría integral de la medicina. Mientras no poseamos algo semejante, no podremos tampoco entender la enseñanza focal y de campos de interferencia. Somos de la opinión de que actualmente poseemos una teoría de la medicina integral científicamente comprobada y se basa en la experiencia del sistema vegetativo básico de A. Pischinger, la cual parte de la definición del tejido conectivo blando y su relación con la periferia vegetativa nerviosa, ha sido elaborada y mejorada durante años y dada a conocer al mundo en 1969. Apoyado en estos novisimos reconocimientos que permiten puntos de vista integrales, intentaré acercar a la comprensión de ustedes las bases vegetativas de las enfermedades focales dentógenas.

Nunca hemos carecido de pioneros que intentaron a través de los tiempos entregarnos bases profundas y biológicas para una teoría de la medicina. Todos esos loables esfuerzos, sin embargo, no pudieron comprobarse hasta sus últimas consecuencias debido a que dichas enseñanzas pese a sus fundamentos reales se concentraban solamente en áreas parciales del organismo sin llegar a la base misma de los procesos vitales que no es otra que: potenciar bioeléctrico, respiración etc. Les recuerdo la enseñanza de los macrófagos de Metschnikoff Bogumoleta y las de Rokitanski, ambos desplazados por la patología celular de Virchow. La "patología de reacción" de Ricker pretendía comprobar el modo como cada célula vivía en relación dependiente con todo el organismo y que estas relaciones se llevan a cabo en la secuencia: via sanguínea - terminal nerviosa - tejido. Ricker le dió la primacía a los capilares, pero estos como vía transportadora, solo es un medio para un fin.

La "patología neural" de Speransky acentúa la acción dominante del sistema nervioso y le subordina todo prácticamente al hipotálamo. Pero ¿Qué regula las funciones básicas de aquellas personas que no poseen hipotálamo o a quienes se les ha destruido y siguen viviendo a pesar de ello?. Por dicha razón Speransky se nos quedó incompleto. Otras concepciones que permitieron solucionar algunos problemas diagnostico terapeútico e intentaron aportar algunas bases válidas de la medicina fueron: La adaptación de Selye y la "Teoría Humoral" de Eppinger. Esta trae su referencia de la teoría mas antigua de la medicina: La de los "humores " de Hipócrates. En base a esta teoría humoral surgió la hoy casi olvidada Tesis de Eppinger: "La patologia de la permeabilidad", como enseñanza del comienzo de toda enfermedad y no se puede negar que de todas las nombradas, ésta tiene el mayor valor, pues define y enseña la inflamación serosa, la que sin duda alguna merece avanzar a puestos prominentes ya que Eppinger pudo comprobar en los "humores" la existencia de sustancias con capacidades reguladoras y que no eran proteínas. Les reconoció fluorescencia propia, rápida difusión, resistencia al calor y alta sensibilidad a los fermentos. Las encontró en todos los humores del cuerpo (sangre, linfa, saliva, lágrimas) así sea que no las haya definido químicamente. Hasta aquí esta breve reseña histórica

Las capacidades reguladoras de un sistema integral vienen dadas por el descubrimiento de "sustancia redox" (sistema oxidoreductor). Reacciones integrales favorables se producen en el cuerpo por cambios de dieta, empleo de ayunos, masajes, hidroterapia con agua fria tipo Kneipp etc. El efecto terapeútico de todos estos recursos se deja objetivizar pues la eritrosedimentación se normaliza en el lapso de una hora, con la aguja de la acupuntura con la manipulación osteopática y/o quiropráctica. Para evitar malentendidos, queremos aclarar que estas reacciones no nos acortan información sobre la naturaleza en sí del sistema integral, en cambio y sin lugar a dudas, comprueban que debe de existir una "totalidad" capacitada para funciones reguladoras. Paso a definir y a explicar el "Fenómeno en Segundos" de Huneke y les presentaré el "Sistema Oxidoreductor" de Lutz y Pischinger.

FENOMENO EN SEGUNDOS

Se entiende bajo "Fenómeno en Segundos", el hecho innegable, tras una inyección de procaína en un campo interferente, por ejemplo, en la punta del apice de un diente sospechoso, el efecto patológico lejano que de allí parte (dolores articulares etc), desaparece en cuestión de segundos. Esta liberación del dolor debe durar en el caso de focos dentógenos por lo menos 8 horas seguidas y a la repetición de la misma inyección debe de repetirse el mismo fenómeno. La rapidez con que aparecen semejantes mejorias tiene su paralelo en aquellos desmayos transitorios que surgen despues de insultos físicos y psiquicos tan intensos como para sacurdir lo inespecífico en su totalidad.

Cuan profunda es la acción de un campo interferente sobre todo el vegetativo y sus terrenos celulares y humorales de regulación, es algo que se refleja objetivamente en el hecho de que pocos minutos después de la aparición de un fenómeno en segundos, positivo, se presenta una reestructuración caracteristica en el cuadro hemático diferencial: desaparecen los macrolinfocitos, surgen formas irritativas y linfocitos de stress según Frank y Dauchtedy, así como tambien se comprueba la normalización de valores antes demasiado altos en el consumo del yodo en el estacto sangre-suero libre de proteinas (Pischinger, 1965).

Aparte del fenómeno en segundos, la otra observación trascendental sobre importantes mecanismos reguladores de un sistema integral, fue el descubrimiento del así llamado "sistema oxido-reductor", realizado por Lutz y Pischinger en 1949. Con ello me dirijo directamente a la explicación de la posibilidad no solo neural sino humoral de comunicación entre el tejido conectivo mesenquimal, intersticial, tejido básico (Buttersack). Los primeros elementos en tenerse en cuenta son la sangre y la linfa, sin ignorar la gran masa liquida que llena el espacio extracelular. Las investigaciones de la escuela de Eppinger nos enseñaron que en dicho espacio, en el adulto, circula un total de quince a dieciocho litros de liquido (Molenar y Roller, 1939). Este volumen liquido se encuentra, según Eppinger, en constante movimiento. En gran parte proviene de la red arterial de los capilares, en parte es recogido de nuevo por el complejo venoso de los mismos capilares. Otra parte le es devuelta a la sangre a través de via linfática, que integra e introduce integro el tejido linfático en el proceso de las regulaciones. Esto se lleva a cabo en primer lugar, a través de los conductos linfáticos principales. En odo el tejido linfático y en el bazo, ambos ricos en tejido conectivo, existen aún comunicaciones directas ( esclusas hemo-linfáticas) entre la sangre y el liquido intercelular (Pischinger, 1963. Kellner, 1963).

Eppinger habla de un "sistema circulatorio interno". En muchas partes se hacian esfuerzos por aproximarse al verdadero principio humoral activo. Eppinger ayudó mucho a reconocer, por lo menos, que al hablar de ese principio humoral activo no se trataba de facciones protéicas. Estos interrogantes se fueron aclarando gracias a una notable observación hecha por Lutz. Lutz trabajaba en 1946 como médico general en Baden cerca de Viena. Le fue enviado un paciente con el diagnostico de tuberculosis pulmonar. Su tratamiento se basaba en inyecciones de suero, de contenido protéico con las cuales obtenía notables éxitos en caso de tuberculosis. Este paciente sin embargo el resultado fue nulo. Despues de cada serie de inyecciones el paciente presentaba reacciones inesperadas y diferentes a las de los demás. Esta circunstancia hizo sospechar a Lutz de si se trataba o no realmente de una tuberculosis. Refirió el paciente de nuevo al neurólogo y el radiólogo les ratificó nuevamente a ambos el diagnostico de tuberculosis pulmonar. Tras repetir las mismas inyecciones el paciente murió. Le ordenó una autopsia. Resultado: ¡carcinoma pulmonar! ni trazos de tuberculosis. Intuitivamente llegó Lutz a la siguiente conclusión: las inyecciones del suero fracasaron en este caso debido a que no se trataba de una enfermedad infecciosa, en cuyo caso los portadores de la reaccciones inmunobiológicas unidas al suero protéico, hubiesen podido resolver el problema pero no se trataba de un caso de cáncer según el radiólogo.

Puesto que aparecieron reacciones diferentes e inesperadas tiene que haberse encontrado en dicho suero no solo sustancias libres de proteinas "sustancias reguladoras" capaces de influenciar la situación vegetativa básica de todo el organismo en forma definida. En estrecha colaboración con Pischinger, se prepararon animales donantes consiguiendose un estracto de suero de sangre de caballo, libre de proteinas. Estos complejos contienen principalmente acidos grasos conjugados, impares con alto peso molecular poseyendo notables características físicas y fisicoquímicas, como autofluorescencia, absorción de rayos ultravioleta principalmente en terreno de ondas Angstrom 2650. Oxigeno, hidrogeno y yodo elemental, es decir que son oxidables y reductibles, de allí su denominación de "sustancias redox". Esto explica su definido potencial, medido con electrodo de platino, son de superficie activa y de fácil difusión elevando la respiración celular endógena de forma significativa ( de un 40 a un 45%). No solamente se les encuentra en la sangre de caballos. Como complejos análogos estan en todos los animales y en el hombre. Es posible aislarlas en todos los líquidos del cuerpo (linfa, líquido cefaloraquídeo, ascitis, etc,) también en los leucocitos, en el tejido conectivo blando y en los fibroblastos ya que provienen de la célula.

Sobre todo se les encuentra en el líquido intercelular del sistema básico. Se trata de sistemas no protéicos esparcidos universalmente, que debido a su carácter definidamente oxidoreductor ejercen influencia sobre la respiración celular, ejemplo sobre la utilización del óxigeno. Es por ello que Pischinger le dió a estos sistemas el nombre de "sistema oxido-reductor". Estas sustancias activas reaccionan además ante cualquier clase de influencia: electroshock, radiaciones X, sangrias y también al simple pinchazo de una aguja. Lo hacen de una forma rápida e impresionante y son diferentes depués de una desinterferencia o limpieza focal bien lograda.

¿DONDE Y COMO SE TRANSFORMAN ESTOS COMPLEJOS DE SUSTANCIAS HUMORALES EN ELEMENTOS REGULADORES?

Según Pischinger: 1.- Tejido linfático (Pischinger, 1963) 2.- El bazo (Kellner, 1963) Se tratan de órganos constituidos casi totalmente por tejido conectivo blando, rico en células. Ambos tienen instalaciones que posibilitan el paso de plasma singuíneo a través del tejido celular reticular y en el tejido linfático las venas postcapilares y en el bazo el aparato encapsulado periarterial

3.- En el proceso de leucolisis Este último factor nos lleva hacia la regulación celular. El vegetativo en calidad de sistema de regulación integral dispone aun de una tercera área: el área celular. A éste le pertenece el sistema reticulo-histiocitario (nombrado por Aschoff en su ápoca sistema reticulo endotelial) con el tejido linfático y el bazo. De éste último salen por via sanguínea y linfática los leucocitos hacia la periferia, llegan al tejido básico intersticial para jugar allí su gran papel sobre todo en el sentido de la leucolisis.

Según las investigaciones de Aschoff y Kiyono (1913), Pischinger (1957), se disuelven los leucocitos de la sangre después de una permanencia de cuatro horas especialmente en la sangre capilar. Normalmente se encuentran en la sangre circulante, en todo momento, millones de leucocitos en plena disolución. Los subproductos de estos leucocitos son conocidos, pero Pischinger asegura que no se les interpreta correctamente. Se trata de los detritus nucleares. Se observa amenudo fragmentos nucleares junto a una célula intacta, y ambos permanecen sometidos al mismo estress. Si una de las dos células llega a ser destruida significa que se encontraba en un estado de resistencia disminuida. Esta resistencia desigual de los leucocitos ya era conocida por Schroder (1957). El sentido de leucolisis parece ser el de las células no degenerativas de las que se liberan sustancias biológicamente importantes como proteínas, lípidos, hidratos de carbono y especialmente fermentos de todo tipo. De esta forma llegan a la sangre todas las sustancias propias del cuerpo, transfunden el tejido y pueden regular las funciones vitales básicas.

Es importante saber que la mayor cantidad de tejido reticulo-histiocitario y linfático se encuentra en el abdomen, en el terreno portal y sobre todo en la mucosa intestinal, por lo que se acopla el medio intestinal al circuito regulador de lo inexpecífico, circunstancia que no se tiene en cuenta cuando se observa las varias modalidades del vegetativo. En tratados sobre el vegetativo se nombra siempre el sistema endocrino con las hormonas como parte integrante del mismo. A esto hemos de decir que el sistema orgánico específico del endocrino solo interviene en las funciones vegetativas básicas como regulador secundario, con una sola excepción, las suprarrenales (Hans Selye). Los efectos de las hormonas de la corteza suprarrenal se extienden básicamente hasta las funciones del tejido conectivo: inciden sobre la sangre, tejido linfático, funciones inflamatorias del tejido conectivo, así como también sobre el metabolismo del agua y de los minerales. El sistema vegetativo "integral" posee bases morfológicas definidas y circunscritas a los correspondientes circuitos reguladores: 1.- Todo el mesenquima, constituido por el tejido conectivo blando, laxo e intersticial presente en la totalidad del cuerpo y que con sus finísimas fibrillas, capilares y nervios penetran en todas partes hasta en las mas pequeñas comisuras que se hayan entre célula y célula. Este tejido conectivo blando ubicuitario es ni mas ni menos "el tejido básico" del organismo, como lo denominara Buttersack en su tiempo.

2.- En estas regulaciones reacciona y responde siempre todo el sistema garantizando las funciones orgánicas y la integridad del organismo (Pischinger, 1969) 3.- Sistema humoral con los complejos de sustancias activas reguladoras 4.- El sistema reticulo-histiocitario con el tejido linfático como intermediario de las regulaciones celulares 5.- El "endocrinium" como sistema hormonal, en especial las glandulas suprarrenales.

Si se pretende hacer una evaluación de los circuitos reguladores del vegetativo, hemos de darle prioridad, respecto de la integridad del organismo, al sistema mesenquímico basico y al sistema humoral. Un cuerpo se construye onto y filogenéticamente desde la célula primaria hasta los organos altamente diferenciados. Se conocen en zoología y en embriología organizaciones con funciones perfectas en la que solo constan de células y de su medio circundante. Lo mismo sucede con los mamiferos: tienen organos que cumplen funciones importantes y no poseen nervios como es el caso de la placenta. Por el contrario, no se conoce ningún organismo constituido exclusivamente por nervios o diencéfalo. La vida comienza con la célula simple e indiferenciada y ésta es en el hombre y en el animal la célula mesenquímica, es decir la célula del tejido conectivo (Pischinger 1965).

La célula del tejido conectivo o fibroblasto se haya en el primer plano de las funciones vitales básicas. Cada foco y cada campo interferente atacan con sus efectos enfermantes, en primera instancia, este tejido conectivo blando, intersticial, ya que cada foco y cada campo de interferencia, y por consiguiente también cada foco dentógeno, histológicamente hablando se haya en ese tejido conectivo donde no sólo se le encuentra anatómicamente. El vegetativo mantiene, através de dos instalaciones, relaciones anatómicas intimas con la totalidad del organismo: la red terminal neurovegetativa para el polo nerval, la red terminal capilar para el polo humoral. Ambas instalaciones o redes se encuentran en el tejido conectivo intersticial. Además las interrelaciones del vegetativo con los centros de regulación que jerarquicamente están por encima (acertadamente llamados "polos auxiliares") se llevan a cabo y se mantienen en armonía gracias a tres sistemas: 1.- El polo de regulación nerviosa que consta de: red terminal neurovegetativa, hipotálamo y capas superiores hasta llegar a la corteza cerebral 2.- El polo de regulación hormonal que consta de: red terminal capilar, hipófisis, suprarrenales con el resto del sistema endocrino incluyendo los organos sexuales 3.- El polo de regulación celular que consta de: sistema reticulo-histiocitario con tejido linfático y bazo.

MECANISMO DE ACCIÓN DEL VEGETATIVO

Es mi proposito acercarme al verdadero mecanismo o modo de actuación de los efectos focales. Dije una y otra vez que cada foco, cada campo de interferencia se haya en el tejido conectivo blando intersticial y que allí produce en ellos sus alteraciones. Este hecho incuestionable es punto de partida para todo lo que se diga sobre el problema focal, pues es en este tejido en donde se producen las primeras "irritaciones" provenientes de un foco o de un campo interferente. Cualquier consideración teórica sobre el efecto focal tiene por lo tanto que se consecuente y partir del estudio de la estructuración funciones e interconexiones que tiene este tejido con el resto del cuerpo.

Al hablar del tejido conectivo blando estamos tratando de aquel tejido conectivo en el que lo que importa no es la función de la fibra sino la de la célula. Le pertenece el mesenquima embrionario, el tejido linfático, el sistema reticulo-histiocitario y el tejido laxo intersticial. Se le encuentra en todos los rincones del cuerpo, sus masas mayores se hayan en la piel, mucosa intestinal, organos linfáticos, bazo , pulmón. Lo vemos también la pulpa dentaria, en la gingiva, hueso periodontal, en las hojas serosas e incluso en tendones.

El papel dominante que tiene el tejido conectivo blando en el cuerpo se advierte desde los primeros estadios de su evolución: cuando al diferenciarse la vsícula germinal se pierde el contacto entre ecto-mesodermo, o endodermo, forma el mesodermo el primer tejido conectivo: el mesenquima. Este consta solamente de un conglomerado reticular de fibroblastos con la sustancia intercelular. En este periodo se llevan a cabo todos los procesos de regulación en forma celular y humoral. Mas tarde surgen aqui capilares y crecen nervios. El mesenquima se convierte luego en el portador de los nervios y los vasos que como vemos vienen a ser formaciones secundarias. Los procesos evolutivos nos aclaran las relaciones principales entre el tejido conectivo y el tejido organico específico. Las celulas organicas surgen de su terreno matrix epitelial (ecto- meso o endodermo) crecen en el tejido mesenquímico básico y mas tarde es cuando se relacionan con la circulación y los nervios. Las mismas relaciones morfológicas estan contenidas en el organismo adulto. La importancia del tejido conectivo blando viene siendo realzada dese hace mucho tiempo por muchos autores, entre otros por Buttersack, Von Mollendorff, Pfeiffer, Standenath y H. Siegmund. Todos estos autores lo denominaron tejido básico, tejido conectivo activo. Pischinger lo ha llamado "sistema básico intersticial" quien recalcó su importancia para la clínica en la medicina práctica. Con ello adquiere mucho peso el reconocimiento de que todos los focos y campos de interferencia se encuentran en el tejido conectivo blando (Pischinguer 1965).

Antes de dedicarme a las relaciones entre este sistema básico y el resto del cuerpo debo poner bajo la lupa la relación de la célula del tejido conectivo con su mediata vecindad o medio circundante -la sustancia o líquido extracelular. Sabemos que la formación de células libres, tales como histiocitos, linfocitos, granulocitos, células plasmáticas se llevó a cabo por diferenciación de células madres reticulares. Estas células libres sostienen intercambios con el milieu intercelular a través de fagocitosis, pinositosis de granulación y entrega de fermentos. Lo que no sabíamos hasta ahora era que esta célula madre o fibroblasto posee ella misma la capacidad de influenciar el milieu extracelular. Esta enseñanza la obtuvimos gracias a cultivos celulares in vitro.

G. Kellner (1963) pudo demostrar en sus modelos cuan grande es la capacidad reguladora de los fibroblastos humanos, las células necesitan para vivir y crecer un milieu adoptado, en este caso el medio de cultivo. Importantes son aqui los factores físico-químicos, el potencial oxido-reductor y el de los iones. Si hay burdos cambios en el milieu de los cultvos se mueren las células, si los cambios son solo pequeños se interrumpe su crecimiento para proseguir despues de cierto tiempo. Es en este tiempo en el que masas de células se descomponen y con las sustancias que de ellas se liberan equilibran de nuevo el milieu del cultivo hasta tal punto que las células reaccionan sensibles a alteraciones físico-químicas de su milieu (del líquido extracelular) y que los mismos fibrobastos son capaces de restaurar y regular en forma óptima la constitución de su milieu. En base a estos reconocimientos se concluye que las células del tejido conectivo no pueden seguir siendo estudiadas aisladamente sino que las observaciones del estudio debe incluir el líquido extracelular porque es entre la célula y su milieu donde se llevan a cabo las regulaciones vitales primarias. A esta unidad funcional le dio Pischinger en 1965 el nombre de "Sistema Celula Milieu". Se encuentra en todos los recodos y sitios del cuerpo y representa el medio de vida para las células orgánicas específicas y para las funciones orgánicas. Es el portador de los vasos sanguíneos y linfáticos así como también de los nervios, teniendo en cuenta que estos tres elementos como ya se dijo, son solo funciones secundarias.

En este tejido se encuentran pues focos y campos de interferencia. Con ésto puedo por fin hacer la pregunta cardinal de mi tema: ¿Qué caminos y reacciones conducen desde este tejido hasta las consecuencias focales?. Para poder contestar esta pregunta de tal modo que nos quede bien claro el modo de acción de los focos y del vegetativo, tenemos que buscar las comunicaciones que existen entre el campo interferido y el resto del organismo. Según la anatomía y la histología solo hay dos posibilidades, la nerviosa y la humoral. Hasta ahora se le venía dando clara primacía al sistema nervioso vegetativo para explicar los efectos de un foco o campo interferente sobre todo el organismo. Sin embargo, esto no basta para explicar el suceso focal pues si los focos, como se ha podido comprobar, actúan primero sobre el tejido conectivo blando y solo los nervios vegetativos se llevan el efecto enfermante al organismo, entonces es menester que el tejido conectivo blando tenga estrechas relaciones morfológicas con estos nervios y ese no es el caso. Nada puede reportarnos al respecto la fisiología ni la farmacología. Todos los investigadores estan de acuerdo en que en el terreno vegetativo no se encuentran sinapsis clásicas entre nervio y órgano alguno, ni siquiera entre una célula orgánica ni una de tejido conectivo, no hay duda de que esta circunstancia nos hace difícil dar una explicación puramente morfológica de la conducción y transmisión de impulsos.

Tenemos que fijarnos si es que la morfología de la periferia neuro-vegetativa nos da una que otra referencia válida para entender este asunto. Al respecto se expresa Pischinger (1965) de la siguiente manera: Existe unidad de criterio cuando se dice que el simpático y el parasimpático desembocan en una red periférica de nervios sin médula, todo este complejo nervioso se llama hoy en día -plexo peri vasal. Se dividen las opiniones al respecto de como es que le llega el impulso a las células que lo reciben. Trabajos óptico-lumínicos de vieja data aseguraban poder comprobar contactos directos. La microscopía electrónica demostró que estos no existen, por lo menos no en la forma en que las conocemos en la inervación de músculos del esqueleto o en la sinapsis que hay al pie de células nerviosas. Jabonero supone que de las formaciones nerviosas terminales salen sustancias, pasan al medio circundante y ejercen desde allí su influencia sobre las células. Dicho medio no es otro que el liquido extracelular. Esto motivó a Jabonero para hablarnos de "sinapsis a distancia"

Feryrter por el contrario opinó que estos impulsos eran transmitidos a través de células intercaladas pero la microscopía electrónica no lo apoyó. Con el correr del tiempo se va comprobando mas y mas la versión o la hipótesis de Jabonero (Brett Scheneidgr Nemetschech, Gansler, H. Ruske). Los hallazgos de la microscopía electrónica muestran solo un acercamiento de minúsculas fibrillas vegetativas a elementos musculares glandulares, jamás se vieron sinapsis genuínas. En la trayectoria de los nervios, sin importar la vecindad de células orgánicas, se observaron vesiculitas densas o vacias. Estas vesiculitas contienen comprobadamente aquellas sustancias transmisoras "catecolamina aceticolina". Estas son las sustancias nervales químicas y activas que contienen en su axones los nervios autónomos vegetativos y sabemos que las catecolaminas "adrenalina, noradrenalina, serotonina" son sustancias activas del simpático mientras que la acetilcolina es la transmisora del parasimpático

(Kole, 1967). Estas sustancias nervales activas forman la base de toda trasmisión de impulsos entre el nervio y una célula no nerviosa que recibe el impulso. Su modus de acción no es directo, se lleva a cabo a través de un espacio intermedio que no es otro que el representado por el líquido extracelular del tejido conectivo blando en el que deponen los nervios las sustancias. De allí pasan a las células y ejercen sobre ellas su función. El sitio nervioso donde se lleva a cabo la transmisión de impulsos es en aquellos tramos del axon que no estén cubiertos por la célula Schwann y que fueron denominados como "terreno neuro-afectivo" Ruska y Ruska, 1961: Van Der Zypen, 1967).

En base a estos hallazgos uno puede preguntar cuales son las relaciones que existen entre el tejido conectivo blando en sí y los nervios vegetativos.

Si antes subrayé el hecho de que no hay estrechas relaciones morfológicas comprobables tengo ahora que decirles que las últimas investigaciones dieron a conocer que a pesar de lo dicho si existen relaciones estrechísimas entre nervios vegetativos y tejido conectivo en el sentido de relaciones fisiológicas. Esto se pudo estudiar detalladamente en órganos que contienen nervios y que carecen de fibras musculares, de glándulas y de células epiteliales, como ser: pulpa dentaria (Pischinger y Stockinger, 1965, 1968), gingiva (Plenck Juinior y Raab, 1969, 1970, Plenk Junior 1971) peritoneo (Kellner, 1966). También en los exentos de capilares como por ejemplo: la válvula pulmonar (Lipp, 1951, Lipp y Rodin, 1958, Kolb, Pischinger y Stockinger, 1967) o en el endocardio. La pulpa dentaria resultó ser el objeto ideal de estudio. Fue investigada por métodos de la microscopía electrónica por Pischinger y Stoukinger en 1968: no se le encontraron células orgánicas específicas. Los nervios un poco mas gruesos, sin médula, constan del plasmodio de recubrimiento en el que por medio del mesaxon descienden los cilindros de su eje. Entre mas adelgaza el calibre del nervio mas axones emergen de la superficie y obtienen con superficies libres contacto intimo con el líquido extracelular. Ambos autores afirman que la única correcta interpretación que lógicamente queda, es que el líquido extracelular es controlado por ejemplo atendido por fibrillas finísimas y desnudas. Una inervación sinaptica genuina de células de tejido conectivo tampoco se ha podido comprobar a este nivel y en este terreno.

De todos modos hay que pensar en una cierta acción afectora pues también se ven nervios con las arriba citadas vesiculitas. Los cambios que de allí pueden resultar al milieu intercelular conducen otra vez a excitación de nervios y a desencadenamiento de reflejos. Esto apoya nuestra opinión de que existen relaciones fisiológicas entre el tejido conectivo y los nervios vegetativos pues la célula que recibe el impulso en la pulpa dentaria solo puede ser el fibroblasto ya que aquí, como en la gingiva (Plenk Junior y Raab), no existen células orgánicas especiales.

Recapitulando puede decirse lo siguiente:

La base o fundamento de la transmisión de impulsos es sin duda alguna el tejido conectivo blando rico en células, constituido principalmente por células y su milieu vital, el liquido extracelular. Por eso es que hablamos del "Sistema Celular Milieu". Esta manera de definir las cosas coge fuerza por la "reacción al pinchazo" (Pischinger, 1965). Se puede observar que la sola introducción de una aguja en la piel por ejemplo: al sacar un poco de sangre (3 a 5 cc) de la vena cubital, desencadena en el cuerpo una reacción general e inespecífica expresada significativamente en los complejos oxido-reductores y en el contenido de Hb O2 de la sangre venosa. Lo activo no viene a ser la mínima pérdida de sangre sino la colocación de una heridita por el pinchazo el que naturalmente afecta el tejido conectivo de la piel y la adventicia del vaso. Otra comprobación del papel dominante del tejido conectivo blando como transmisor de impulsos es el hecho de que este tejido básico también tienen su "manutención" nerval. A ésto se le adicionan generalmente capilares, con lo que gana en importancia biológica. El sistema "célula miliey" recibe pues influencia externa tanto de tipo humoral (por los capilares) como de tipo nerval "por la formación terminal - nerviosa". (VER MICROTUBULOS)

Este complejo sinergístico y esta inter-relación entre células de tejido conectivo, capilares y nervios, con el compo de acción conjunta de la sustancia o tejido extracelular fue definido por Pischinger en 1969 como "sistema vegetativo básico". El fue el primero en reconocerlo y en corroborar su existencia práctica y experimentalmente. Con ésto ha elaborado y desarrollado para nosotros una teoría nueva válida e integral de la medicina, algo buscado por muchos en todas las épocas. Este sistema es en todo el organismo el principio mediador entre la célula orgánica y los principios humorales y nerviosos por una parte y los efectos del mundo circundante por la otra. las vias nervales y los caminos humorales en el "circuito circulatorio interno" (Eppinger, 1949) incluyendo sistema linfático y sangre, forman la comunicación hacia todo el organismo.

Por estos caminos, es decir: a través de las reacciones del "sistema vegetativo básico" es que se suscitan las consecuencias debidas a focos o campos de interferencia. He tomado como punto de partida el hecho de que cada foco y cada campo de interferencia se encuentran en el tejido conectivo blando y producen allí alteraciones enfermantes. Las consecuencias o efectos patológicos que semejantes alteraciones del milieu producen sobre el organismo ya no son difíciles de comprender si tenemos en cuenta la tesis del sistema vegetativo básico. Estos caminos tienen que ser lo suficientemente fuertes como para romper las barreras locales. Ello explica la diferencia entre focos activos y focos mudos. Se puede además comprobar que cada enfermedad, también los locales, debidas a focos pueden estar acompañadas por alteraciones generales de la situación vegetativa básica, o tener un inicio debido prácticamente a dichas alteraciones. Los focos y los campos de interferencia ocasionan un estado protopático que constituye la base o condición para que aparezcan sintomas locales una vez que actúen en cualquier noxa secundaria. Esto hace comprensible el porqué focos y campos de interferencia reducen e inhiben la fuerza curativa del cuerpo (Pischinger, 1965).